Por Cristell Lozada
MÉRIDA, Yuc., a 07 de marzo de 2026.- Especialistas del Instituto Mexicano del Seguro Social (IMSS) en Mérida lograron un procedimiento poco común en neurocirugía al extirpar un tumor cerebral a un adolescente mientras se encontraba despierto, una técnica que permite vigilar en tiempo real funciones como el lenguaje y el movimiento durante la operación.
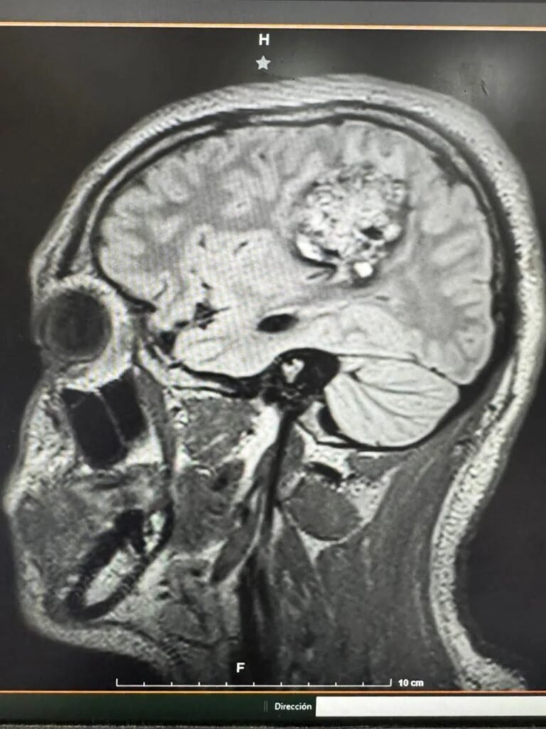
El paciente, de 16 años, presentaba un tumor de aproximadamente cinco centímetros ubicado en una zona delicada del cerebro, cercana a las áreas que controlan el habla y la movilidad. Debido al riesgo de afectar estas funciones, el equipo médico decidió aplicar una cirugía especializada que mantiene al paciente consciente en momentos clave del procedimiento.

Método combinado
Para ello se utilizó la técnica conocida como “despierto–dormido–despierto”, un método que combina anestesia general con periodos en los que el paciente permanece consciente. Durante esas fases, el joven pudo hablar, responder preguntas y seguir instrucciones mientras los neurocirujanos realizaban la intervención.
Este proceso permitió a los especialistas monitorear en tiempo real las funciones neurológicas del adolescente mientras se retiraba el tumor. De esta manera, los médicos pudieron trabajar con mayor precisión en una región del cerebro considerada de alto riesgo.

Procedimiento exitoso
La cirugía tuvo una duración aproximada de seis horas y fue realizada por un equipo multidisciplinario integrado por neurocirujanos, anestesiólogos y especialistas en monitoreo neurológico. El tumor fue retirado con éxito y sin provocar afectaciones importantes en las funciones cognitivas y motoras del paciente.
El procedimiento representa un avance significativo para la medicina en el sureste del país, ya que demuestra el nivel de especialización de los hospitales del IMSS en intervenciones de alta complejidad, así como las posibilidades que ofrece la neurocirugía moderna para tratar lesiones cerebrales con mayor seguridad.














